menu
15 niezwykłych zdjęć wnętrza ludzkiego ciała, których nie widzimy na co dzień
15 niezwykłych zdjęć wnętrza ludzkiego ciała, których nie widzimy na co dzień
Ludzkie ciało to jeden z najdoskonalszych mechanizmów. Jego praca jest przemyślana aż do najmniejszych szczegółów. Wiele różnych procesów zachodzi w nim w każdej sekundzie – nowe komórki zastępują stare.

Krew wykonuje okrążenie między lewą komorą serca a prawym przedsionkiem w zaledwie 27 sekund.

Jednak, nawet naukowcy nie są całkowicie świadomi wszystkich procesów zachodzących w ludzkim ciele. Jednym ze sposobów pomagających nam je poznawać jest prześwietlenie.

Oto zdjęcia naszego ciała z nieco innej perspektywy:

1. Prześwietlenie osoby z polidaktylią

1. Prześwietlenie osoby z polidaktylią
Reklama

3. Tomografia kobiety w 37 tygodniu ciąży

3. Tomografia kobiety w 37 tygodniu ciąży

4. Rezonans zdrowego mózgu

4. Rezonans zdrowego mózgu

5. Implanty piersi widoczne na rezonansie magnetycznym

5. Implanty piersi widoczne na rezonansie magnetycznym

6. Aorta widoczna na rezonansie magnetycznym w kolorze

6. Aorta widoczna na rezonansie magnetycznym w kolorze
Reklama

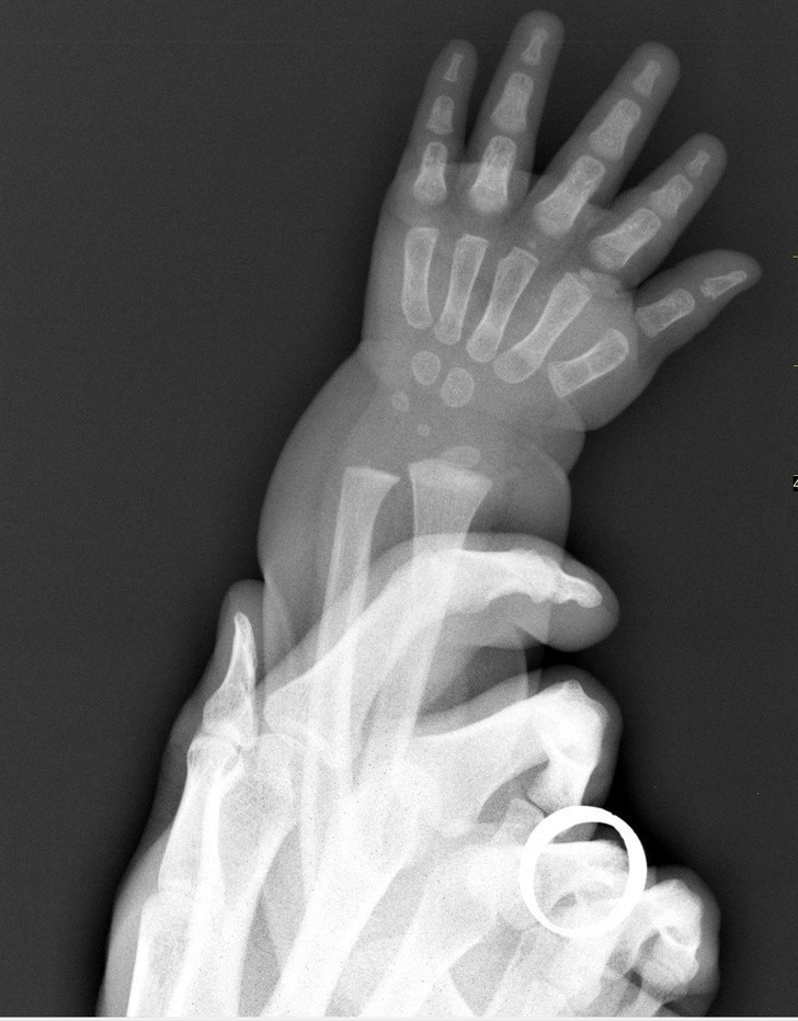
7. Prześwietlenie dłoni dziecka, która, w przeciwieństwie do osób dorosłych, posiada chrząstki zamiast kości

7. Prześwietlenie dłoni dziecka, która, w przeciwieństwie do osób dorosłych, posiada chrząstki zamiast kości

8. Żyły i arterie

8. Żyły i arterie
Reklama

9. Prześwietlenie osoby cierpiącej na otyłość. Nadmierna tkanka tłuszczowa utrudnia zobaczenie znajdujących się pod nią kości

9. Prześwietlenie osoby cierpiącej na otyłość. Nadmierna tkanka tłuszczowa utrudnia zobaczenie znajdujących się pod nią kości

10. Porównanie dłoni dziecka i osoby dorosłej

10. Porównanie dłoni dziecka i osoby dorosłej
Reklama

11. Bicie serca

11. Bicie serca

12. Zdjęcie pokazujące zator żył w lewej nodze

12. Zdjęcie pokazujące zator żył w lewej nodze

13. Guz mózgu

13. Guz mózgu

14. Zniekształcenie żył

14. Zniekształcenie żył
Reklama

15. Zdjęcie wykonane po operacji mającej na celu zrekonstruowanie czaszki ofiary wypadku samochodowego

15. Zdjęcie wykonane po operacji mającej na celu zrekonstruowanie czaszki ofiary wypadku samochodowego

Źródło: brightside.me

TWOJA REAKCJA?

Rozmowy na Facebooku