menu
14 zdjęć rentgenowskich odkrywających niewidzialną stronę naszego świata
14 zdjęć rentgenowskich odkrywających niewidzialną stronę naszego świata
Zdjęcia rentgenowskie to nie tylko konieczne narzędzie dla lekarzy, ale także brama do niesamowitego i nieznanego świata, zdolnego zaskoczyć nawet najbardziej doświadczone osoby. Widzieliśmy już mnóstwo rzeczy dzięki Google, Instagramowi, i innym mediom społecznościowym, ale nic nie może równać się odkrywaniu tajemnic wnętrza ludzi i zwierząt za pomocą prześwietleń.

1. Dentystyczne zdjęcie rentgenowskie pokazujące niewyrośnięte zęby u dziecka

1. Dentystyczne zdjęcie rentgenowskie pokazujące niewyrośnięte zęby u dziecka © Strictlyforbargain85 / Reddit

2. Kolejny przykład: trzonowiec wypychający mleczny ząb.

2. Kolejny przykład: trzonowiec wypychający mleczny ząb. © DrunkMast3r / Pikabu
Reklama

3. Łapa tygrysa

3. Łapa tygrysa © OregonZoo / Twitter

4. Prześwietlenie flaminga

4. Prześwietlenie flaminga © 9w_lf9 / Reddit

5. Sowa megascops

5. Sowa megascops © OregonZoo / Twitter

6. Samica żółwia na krótko przed złożeniem jaj

6. Samica żółwia na krótko przed złożeniem jaj © DrShellyJ / Twitter
Reklama

7. Prześwietlenie jeża

7. Prześwietlenie jeża © DragonsExMachina / Reddit

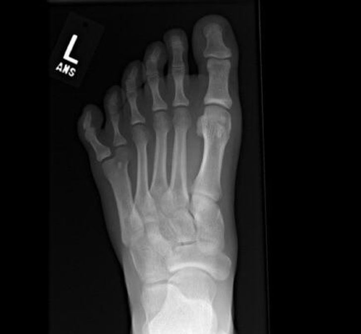
8. Haluks widoczny na prześwietleniu

8. Haluks widoczny na prześwietleniu © Encantalasmontaas / Reddit
Reklama

9. Arterie w mózgu

9. Arterie w mózgu © Ryabkov / Pikabu

10. Zdjęcie rentgenowskie jaszczurki toke

10. Zdjęcie rentgenowskie jaszczurki toke © zsllondonzoo / Twitter
Reklama

11. Prześwietlenie węża

11. Prześwietlenie węża © paceholder / Pikabu

12. Szósty palec u stopy widoczny na zdjęciu rentgenowskim

12. Szósty palec u stopy widoczny na zdjęciu rentgenowskim © DomnLee / Reddit

13. Gdy przypadkowo prześwietlisz Anubisa:

13. Gdy przypadkowo prześwietlisz Anubisa: © Shutupstupidgary / Imgur

14. „Zdjęcie rentgenowskie moich zębów przed założeniem aparatu ortodontycznego i dwa lata później.”

14. „Zdjęcie rentgenowskie moich zębów przed założeniem aparatu ortodontycznego i dwa lata później.” © BoaGirl / Reddit

Źródło: Reddit

Reklama

TWOJA REAKCJA?

Rozmowy na Facebooku